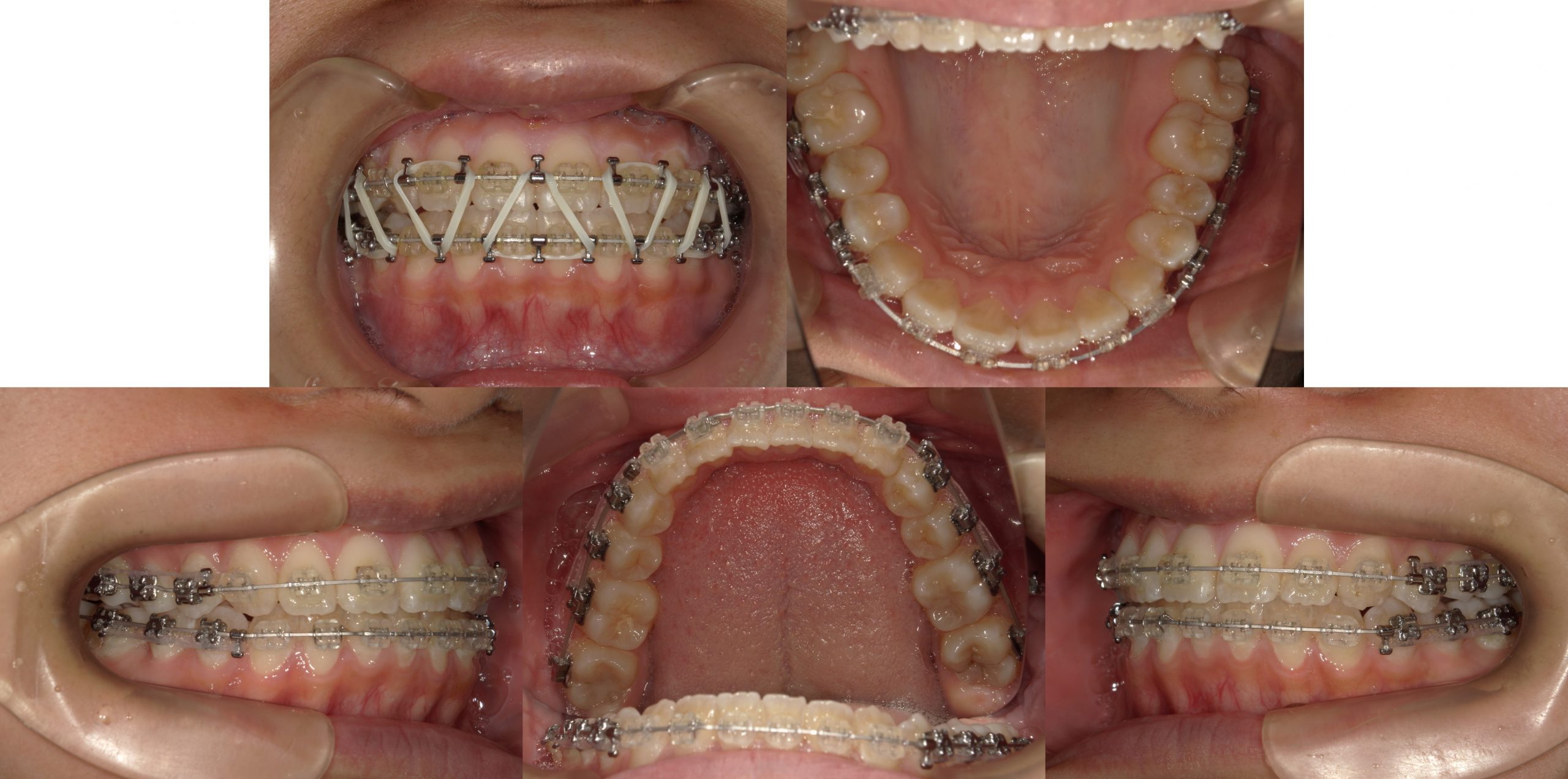
外科矯正症例(開咬):18歳女性
初診時

手術前

手術後

保定期間

| 症例 | 開咬 |
|---|---|
| 治療期間 | 24ヶ月 |
| 治療方法 | 外科矯正・ワイヤー矯正 |
| リスクと副作用 | 初めて装置を装着した時やワイヤー調整後、個人差はありますが、違和感や咬むと痛みを感じることがあります。 矯正治療中は歯磨きしにくい部分ができるため、むし歯や歯周病になるリスクが高くなります。 歯を動かす際に、歯根吸収や歯肉退縮が起こる場合があります。 歯並びを整え、咬み合わせを改善するため、やむを得ず健康な歯を抜くことがあります。 リテーナー(保定装置)を使わずに放っておくと、治療前の状態に後戻りすることがあります。 |
| 治療費 | 保険適応 |
開咬:ワイヤー矯正
初診時

保定開始時

| 症例 | 開咬 |
|---|---|
| 治療期間 | 24ヶ月 |
| 治療方法 | ワイヤー矯正 |
| リスクと副作用 | ワイヤー装着による不快感・痛み、口内炎等の副作用。矯正後の後戻り。 |
| 治療費 |
開咬:インビザライン
初診時

保定開始時

| 症例 | 開咬 |
|---|---|
| 治療期間 | 24ヶ月 |
| 治療方法 | インビザライン |
| リスクと副作用 | 1日20時間以上マウスピースを使用できない場合、治療計画通り歯が動かない可能性がある。矯正中は噛み合わせが安定しない。虫歯、歯周炎のリスクが高くなる。後戻りする可能性がある。 |
| 治療費 |
反対咬合:ワイヤー矯正
初診時

保定開始時

| 症例 | 反対咬合 |
|---|---|
| 治療期間 | 24ヶ月 |
| 治療方法 | ワイヤー矯正 |
| リスクと副作用 | ワイヤー装着による不快感・痛み、口内炎等の副作用。矯正後の後戻り。 |
| 治療費 |
叢生・上下抜歯:インビザライン
初診時

保定開始時

| 症例 | 叢生 |
|---|---|
| 治療期間 | 36ヶ月 |
| 治療方法 | インビザライン |
| リスクと副作用 | 1日20時間以上マウスピースを使用できない場合、治療計画通り歯が動かない可能性がある。矯正中は噛み合わせが安定しない。虫歯、歯周炎のリスクが高くなる。後戻りする可能性がある。 |
| 治療費 |
叢生・上下4抜歯・正中偏移:ワイヤー矯正
初診時

保定開始時

| 症例 | 叢生 |
|---|---|
| 治療期間 | 24ヶ月 |
| 治療方法 | ワイヤー矯正 |
| リスクと副作用 | ワイヤー装着による不快感・痛み、口内炎等の副作用。矯正後の後戻り。 |
| 治療費 |
叢生・上下4抜歯:ワイヤー矯正
初診時

保定開始時

| 症例 | 叢生 |
|---|---|
| 治療期間 | 24ヶ月 |
| 治療方法 | ワイヤー矯正 |
| リスクと副作用 | ワイヤー装着による不快感・痛み、口内炎等の副作用。矯正後の後戻り。 |
| 治療費 |




